Newz Gossip
No Result
View All Result
Sunday, December 14, 2025
  • Login
  • Home
  • भारत
  • विदेश
  • ब्रेकिंग
  • एस्ट्रोलॉजी
  • खेल
  • बिजनेस
  • मनोरंजन
  • दिल की बात
  • अन्य
    • अपराध
    • हेल्थ
    • लाइफ स्टाइल
    • करियर
    • धर्म
    • शिक्षा
  • Web Stories
Newz Gossip
  • Home
  • भारत
  • विदेश
  • ब्रेकिंग
  • एस्ट्रोलॉजी
  • खेल
  • बिजनेस
  • मनोरंजन
  • दिल की बात
  • अन्य
    • अपराध
    • हेल्थ
    • लाइफ स्टाइल
    • करियर
    • धर्म
    • शिक्षा
  • Web Stories
No Result
View All Result
Newz Gossip
No Result
View All Result
Home Khabrein Jara Hat Ke

अमेरिका में फैल रहा कैंडिडा ऑरिस नामक बेहद घातक संक्रमण, मचा हड़कंप

by newzgossip
2 years ago
in Khabrein Jara Hat Ke
0
अमेरिका में फैल रहा कैंडिडा ऑरिस नामक बेहद घातक संक्रमण, मचा हड़कंप
153
SHARES
1.9k
VIEWS
Share on WhatsappShare on FacebookShare on Twitter

RelatedPosts

क्या कहता है ट्रंप का गोल्ड कार्ड, अगर जेब में 10 लाख हैं तो मिलेगी अमेरिका की परमानेंट नागरिकता?

जब अच्छे दिन करीब होते हैं तो जीवन में घटने लगती हैं कुछ विशेष घटनाएं

हिमाचल में शिंकुला दर्रा बर्फबारी के बाद नया टूरिस्ट डेस्टिनेशन……….बर्फ देखने पहुंच रहे टूरिस्ट

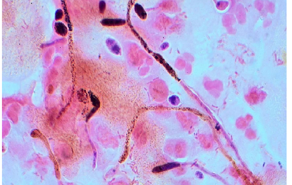
अमेरिका में एक बेहद घातक फंगल इंफेक्शन के कारण हडकंप मचा हुआ है। यह कोरोना वायरस से भी तेजी से फेल रहा है। कैंडिडा ऑरिस नामक यह संक्रमण लोगों के लिए बेहद घातक साबित हो रहा है। यह इंफेक्शन खुले घाव और फेफड़ों को संक्रमित कर सकता है।

यह ब्लड स्ट्रीम में घुस सकता है और मौत की वजह बन सकता है। इसकी चपेट में आने वाले करीब 60 फीसदी लोगों की मौत हो रही है। चिंता की बात तो यह है कि इस इंफेक्शन पर दवाओं का कोई असर नहीं हो रहा है और अमेरिका में इसके मामले बढ़ते जा रहे हैं। इससे दुनियाभर में चिंता का माहौल बन गया है, क्योंकि अगर यह इंफेक्शन अन्य देशों में तेजी से फैला, तो महामारी का रूप ले सकता है। लोग अभी तक कोरोना महामारी के प्रकोप से उबर भी नहीं सके हैं और इसी बीच घातक फंगल इंफेक्शन के मामले सामने आने से सभी की चिंता बढ़ गई है।

अमेरिकी मीडिया रिपोर्ट्स के मुताबिक कैंडिडा ऑरिस एक रेयर फंगल इंफेक्शन है, लेकिन साल 2016 के बाद लगातार इसके मामले बढ़ते जा रहे हैं। इस साल अमेरिका के कई राज्यों में यह संक्रमण सामने आया है। इसी महीने वाशिंगटन राज्य में 4 लोग इस जानलेवा इंफेक्शन की चपेट में आ गए। यह इंफेक्शन होने पर एंटीफंगल दवाएं काम नहीं करती हैं और इसका खतरा कमजोर इम्यूनिटी वाले लोगों को ज्यादा है। चिंता की बात है कि यह अक्सर अस्पताल के उन मरीजों में पाया जाता है जो कैथेटर, ब्रीदिंग ट्यूब या फीडिंग ट्यूब का उपयोग करते हैं। इसका खतरा अस्पतालों में भर्ती मरीजों को ज्यादा है।

कैंडिडा ऑरिस की पहचान पहली बार 2009 में जापान में हुई थी। इसके बाद यह अमेरिका पहुंच गया और साल 2026 से इस संक्रमण के कई मामले सामने आए। कैंडिडा ऑरिस के मामले 2020 से 2021 तक तेजी से बढ़े और संक्रमण के मामलों में 94 प्रतिशत बढ़ोतरी हुई। साल 2022 में इसके 2300 से ज्यादा मामले सामने आए थे। हर साल इस संक्रमण के हजारों मामले सामने आने लगे हैं। हैरानी की बात यह है कि कैंडिडा ऑरिस इंफेक्शन के केस अब तक 40 देशों में सामने आ चुके हैं।

Tags: Candida AurisCandida Auris is spreading in Americadeadly infectiondeadly infectionCandida Auris
SendShare61Tweet38
newzgossip

newzgossip

ABOUT US भारत की बड़ी डिजिटल वेबसाइट्स में से एक “NEWZGOSSIP” किसी भी तरह की अफवाह या झूठी खबरों को अपने पोर्टल www.newzgossip.com पर साझा नहीं करती है. Newzgossip पर कई तरह के विशेष प्रकाशित किए जाते हैं. देश (Country), दुनिया (World), समसामयिक मुद्दे (Current issue) लाइफस्टाइल (Lifestyle), धर्म (Religion), स्वास्थ्य (Health) और खबरें जरा हट के (Khabrein Jara Hat Ke) जैसे विशेषों पर लेख लिखा जाते हैं. हमारा लक्ष्य आप तक सिर्फ और सिर्फ सटीक खबरें पहुंचाने का है. हमारे साथ बने रहने के लिए आप हमें  [email protected] पर संपर्क कर सकते हैं. इसके अलावा आप हमारे फेसबुक पेज https://www.facebook.com/NewznGossip और https://www.facebook.com/IndiaNowR  पर भी जुड़ सकते हैं.

Related Posts

क्या कहता है ट्रंप का गोल्ड कार्ड, अगर जेब में 10 लाख हैं तो मिलेगी अमेरिका की परमानेंट नागरिकता?
Khabrein Jara Hat Ke

क्या कहता है ट्रंप का गोल्ड कार्ड, अगर जेब में 10 लाख हैं तो मिलेगी अमेरिका की परमानेंट नागरिकता?

5 hours ago
नीम करोली बाबा के बुलेट प्रुफ कंबल का चमत्कार, दुश्मन से घिरे युवक को ऐसे बचाया था
Khabrein Jara Hat Ke

जब अच्छे दिन करीब होते हैं तो जीवन में घटने लगती हैं कुछ विशेष घटनाएं

6 hours ago
हिमाचल में शिंकुला दर्रा बर्फबारी के बाद नया टूरिस्ट डेस्टिनेशन……….बर्फ देखने पहुंच रहे टूरिस्ट
Khabrein Jara Hat Ke

हिमाचल में शिंकुला दर्रा बर्फबारी के बाद नया टूरिस्ट डेस्टिनेशन……….बर्फ देखने पहुंच रहे टूरिस्ट

6 hours ago
पुराने चावल सेहत के लिए ज्यादा फायदेमंद
Khabrein Jara Hat Ke

पुराने चावल सेहत के लिए ज्यादा फायदेमंद

3 days ago
2026 में आसमान से आएगी आफत…बार-बार आएगा भंकूप…….ये हम नहीं बाबा वंगा कह रहे
Khabrein Jara Hat Ke

आपदाओं को बाबा वेंगा की भविष्यवाणी से जोड़ रहे हैं लोग

3 days ago
लातविया में पुरुषों की भारी कमी, महिलाएं घंटों से हिसाब से किराए पर लेतीं हैं पति
Khabrein Jara Hat Ke

लातविया में पुरुषों की भारी कमी, महिलाएं घंटों से हिसाब से किराए पर लेतीं हैं पति

4 days ago
दुनिया भर में ‘रम का राजा’ की पहचान बनाए हुए है बकार्डी रम
Khabrein Jara Hat Ke

दुनिया भर में ‘रम का राजा’ की पहचान बनाए हुए है बकार्डी रम

4 days ago
चमड़ी गोरी-आंखें नीली… अपनी ही बच्ची को देखकर चौंका कपल, डीएनए टेस्ट से खुला राज
Khabrein Jara Hat Ke

चमड़ी गोरी-आंखें नीली… अपनी ही बच्ची को देखकर चौंका कपल, डीएनए टेस्ट से खुला राज

4 days ago
शरीर की जकड़न को दूर करता है गरुड़ासन
Khabrein Jara Hat Ke

शरीर की जकड़न को दूर करता है गरुड़ासन

5 days ago

Categories

  • ASTROLOGY
  • BREAKING
  • Breaking News
  • CRIME
  • DELHI
  • Haryana
  • HEALTH
  • Khabrein Jara Hat Ke
  • LIFE STYLE
  • STATE
  • TECHNOLOGY
  • UTTAR PRADESH
  • अन्य
  • करियर
  • कहानियां/Stories
  • खेल
  • दिल की बात
  • धर्म
  • बिजनेस
  • भारत
  • मनोरंजन
  • राजनीति
  • विदेश
  • शिक्षा

Site Navigation

  • Home
  • About Us
  • Advertisement
  • Contact Us
  • Privacy & Policy
  • Other Links
  • Disclaimer

© 2022 Newz Gossip

No Result
View All Result
  • Home
  • भारत
  • विदेश
  • ब्रेकिंग
  • एस्ट्रोलॉजी
  • खेल
  • बिजनेस
  • मनोरंजन
  • दिल की बात
  • अन्य
    • अपराध
    • हेल्थ
    • लाइफ स्टाइल
    • करियर
    • धर्म
    • शिक्षा
  • Web Stories

© 2022 Newz Gossip

Welcome Back!

Login to your account below

Forgotten Password?

Retrieve your password

Please enter your username or email address to reset your password.

Log In